Inwazja powiek przez nużeńce
Choroba
Roztocza Demodex są uważane za normalnych mieszkańców mieszków włosowych i żyją w komensalnym związku z ludźmi. Czasami jednak te roztocza mogą stać się bardziej pasożytnicze, powodując różne choroby oczu. Ze względu na niespecyficzne objawy kliniczne inwazja nużeńca może być często pomijaną etiologią wielu chorób oczu, takich jak zapalenie rogówki lub zapalenie powiek.
Inwazja nużeńca jest często pomijaną przyczyną zapalenia oka. Chociaż prawdziwa patogeniczność u ludzi jest kontrowersyjna, Demodex został powiązany z wieloma chorobami oczu, w tym zapaleniem powiek, zapaleniem spojówek, gradówką, nawracającą włosowicą, trądzikiem różowatym i zapaleniem rogówki.

Etiologia
- Roztocza Demodex są uważane za część normalnej fauny skóry.
- Uważa się, że roztocza Demodex zostały po raz pierwszy nabyte od matki do niemowlęcia poprzez karmienie piersią ze względu na ich obecność na brodawce sutkowej.
- Te roztocza zazwyczaj wykazują związek komensalizmu z ludźmi (korzyść dla Demodexu, ludzie nie mają wpływu); jednak w niektórych stanach chorobowych związek z Demodexem staje się bardziej pasożytniczy.
- Znajdują się one w jednostkach włosowo-łojowych i dlatego są najbardziej rozpowszechnione na twarzy.
Czynniki ryzyka
Czynniki ryzyka obejmują podeszły wiek i osoby opiekujące się osobami starszymi.
Jak wspomniano wcześniej, nużeńce nabywane są wkrótce po urodzeniu, a ich liczba wzrasta w okresie dojrzewania, w miarę proliferacji gruczołów łojowych. Częstość występowania stale wzrasta wraz z wiekiem, przy czym zarażonych jest 13% osób w wieku 3-15 lat, 69% osób w wieku 31-50 lat, 84% w wieku 60 lat i 100% po 70 roku życia.
Patologia ogólna
Istnieją dwa główne rodzaje nużeńca: D. folliculorum i D. brevis. D. folliculorum ma długość 0,3-0,4 mm i występuje w skupiskach wokół mieszków włosowych, podczas gdy D. brevis mierzy 0,2-0,3 mm i występuje wyłącznie w jednostkach łojowych i gruczołach Meiboma. Tak więc D. folliculorum jest bliżej związany z zapaleniem powiek przednich, a D. brevis z zapaleniem powiek tylnych i dysfunkcją gruczołów Meiboma.
Patofizjologia
Roztocza Demodex są łatwo przenoszone poprzez kontakt ze skórą. Demodex może powodować problemy poprzez następujące mechanizmy:
- Roztocza zjadają wyściółkę mieszków włosowych w celu złożenia jaj. Powoduje to rozdęcie mieszków włosowych i nieprawidłowy kierunek rzęs.
- Mechaniczna blokada dróg łojowych przez roztocza powoduje podrażnienie brzegów powieki.
- Utworzony z chityny egzoszkielet roztoczy może wywoływać zarówno ogólną odpowiedź zapalną, jak i reakcję ziarniniakową podobną do ciała obcego, która jest powiązana z powstawaniem gradówki.
Profilaktyka pierwotna
Pomocna może być dobra higiena pokrywy za pomocą namaczania i szorowania. Zarażenia nużeńcem występują częściej u pacjentów z obniżoną odpornością. U pacjentów zakażonych wirusem HIV wykwity na ogół pojawiają się, gdy liczba CD4 spada poniżej 150/mm3.
Diagnoza
Ponieważ roztocza Demodex są zaangażowane w różne choroby, pacjenci mogą wykazywać różne objawy przedmiotowe i podmiotowe. Kliniczne podejrzenie nużeńca jako etiologii przyczynowej musi być zatem wysokie. Ponieważ te roztocza można zobaczyć na normalnej skórze, obraz kliniczny musi być zgodny z wszelkimi wynikami badań fizykalnych lub diagnozami patologicznymi.
Historia
U pacjentów z objawową inwazją nużeńca może wystąpić kilka chorób rogówki i zewnętrznych części oka, których objawami są swędzenie, pieczenie, uczucie ciała obcego, niewyraźne widzenie i ból. Ponieważ objawy te występują często w wielu zaburzeniach, do ustalenia rozpoznania konieczne są dodatkowe dowody w połączeniu z silnym podejrzeniem klinicznym. Inwazję nużeńca można podejrzewać jako przyczynę, jeśli pacjent zgłasza nawrót tych objawów, które są oporne na konwencjonalne metody leczenia.
Badanie lekarskie
Często istnieje słaba korelacja między objawami a obiektywnymi oznakami wskazującymi na inwazję nużeńca. Badanie lampą szczelinową można wykorzystać do wykrycia cylindrycznego łupieżu u nasady rzęs, co jest patognomonicznym objawem nużeńca. W przeciwnym razie wyniki badania są typowe dla chorób wymienionych powyżej i dlatego są niespecyficzne dla nużeńca.
Oznaki
- Cylindryczny mankiet u nasady rzęs
- Zapalenie powiek
- Rumień brzegów powiek
Objawy
- Swędzący
- Palenie
- Uczucie ciała obcego
- Kruche/matowe rzęsy
- Rozdzierający
- Rozmyty obraz
- Dyskomfort/podrażnienie
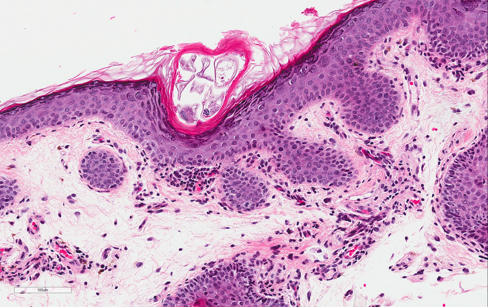
Obraz histologiczny Demodexu: typowy przekrój Demodexu widoczny w mieszkach włosowych (H&E, 20x).

Diagnoza kliniczna
Diagnostyka mikroskopowa i patologiczna
Pobieranie próbek rzęs może pozwolić na mikroskopowe wykrycie roztoczy. Można to zrobić poprzez depilację rzęs, umieszczenie ich na szkiełku podstawowym, dodanie fluoresceiny na wierzchu, pokrycie szkiełkiem nakrywkowym i zbadanie ich pod mikroskopem na obecność roztoczy.
W próbkach biopsyjnych zawierających skórę można zobaczyć roztocze Demodex wypełnione wieloma skrawkami, które wypełniają przestrzeń zajmowaną przez pęcherzyk. Zwykle wokół mieszków włosowych znajdują się przewlekłe komórki zapalne.
Diagnostyka różnicowa
Diagnostyka różnicowa inwazji Demodex zależy od konkretnej manifestacji. Biorąc pod uwagę, że Demodex jest związany z różnymi patologiami, różnicowanie może obejmować zakaźne/zapalne przyczyny zapalenia spojówek, zapalenia rogówki, zapalenia rogówki i spojówki, zapalenia brzegów powiek, zespołu suchego oka, gradówki i rzęsistkowicy. Podczas badania łupieżu rzęs ważne jest również odróżnienie nużeńca od phthiriasis palpebrum (inwazji wszy łonowych).
Postępowanie czyli sposób rozwiązania problemu
Jak wspomniano wcześniej, wykrycie nużeńca bez objawów klinicznych nie uzasadnia leczenia. Leczenie klinicznie istotnej inwazji Demodex obejmuje na ogół stosowanie olejku z drzewa herbacianego i jego pochodnych.
Terapia medyczna
Zwalczanie inwazji Demodex odbywa się za pomocą codziennego peelingu powiek olejkiem z drzewa herbacianego (TTO). 50% TTO było początkowo stosowane jako dawka terapeutyczna i wykazano, że zmniejsza objawy i stany zapalne rogówki, spojówki i brzegów powiek. Takie dawkowanie powodowało jednak podrażnienie u niektórych pacjentów. W ten sposób wyizolowano aktywny składnik TTO, terpinen-4-ol (T4O). T4O był silniejszy przy równoważnych dawkach TTO, umożliwiając w ten sposób skuteczne leczenie przy niższych stężeniach.
Odkrycie T4O umożliwiło opracowanie Cliradex®. Ten produkt to chusteczka do twarzy zawierająca T4O, którą pacjenci stosują codziennie w leczeniu różnych objawów inwazji Demodex. Zaleca się, aby schemat leczenia trwał co najmniej 6 tygodni, aby objąć pacjenta przez dwa cykle życia nużeńca.
Dodatkowo opracowano zabieg gabinetowy o nazwie Cliradex® Complete. Obejmuje to wstępne leczenie polegające na zastosowaniu mocniejszego stężenia T4O na brzeg powieki, a następnie dokładne oczyszczenie nasady rzęs i usunięcie zanieczyszczeń. Następnie pacjent przechodzi tę wstępną terapię chusteczkami Cliradex® w domu.
Dodatkowe terapie stosowane w przypadku chorób skóry związanych z nużeńcem obejmują miejscowe produkty siarkowe, permetrynę i iwermektynę. Wykwity na twarzy leczono również doustnym metronidazolem i rozcieńczonym miejscowym olejkiem kamforowym.
Jeśli posiadasz regularne problemy, które wymienilismy w powyższej treści, skontaktuj się ze specjalistą okulistą, który skieruje Cię na stosowne badania.